如果您是臨床醫療人員、科學工作者、或對影像醫學有興趣的人士,您一定不能錯過10/29(六)在中國醫藥大學附設醫院舉辦的「2016台灣營養精神醫學研究學會秋季工作坊」。
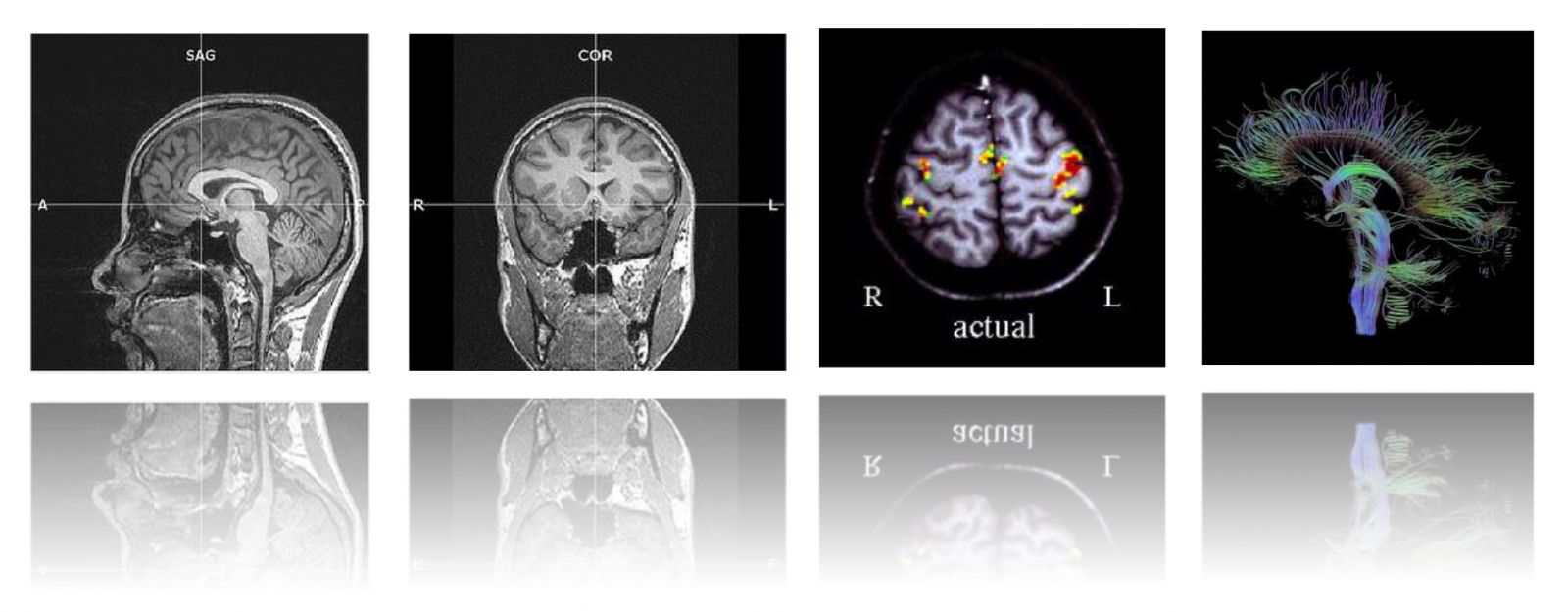
本次工作坊的主題是【影像醫學在精神醫學研究之理論與應用】,我們邀請到影像醫學的專家杜政昊博士 (Dr. CH Tu) 及陳君明博士 (Dr. CM Chen) ,深入淺出的帶領學員從理論到臨床實務、從操作到研究應用做系統性的授課。課程內容包括形態測量學(VBM)、皮質厚度分析(cortical thickness analysis)和擴散張量影像(DTI)等等。本課程特別優待台灣營養精神醫學研究學會之會員,年底前加入免入會年費!敬請把握!加入會員請點選:連結。
這是一個腦科學的研究世代,台灣營養精神醫學研究學會(TSNPR)致力於推動轉譯醫學 (translational medicine) 及跨領域 (interdisciplinary research) 的研究合作。本次工作坊的目的是希望透過系統性的介紹,讓有志從事腦科學研究工作的人員獲得紮實的影像醫學基礎知識,並透過講者的經驗分享,幫助學員掌握此領域的最新研究趨勢。
名額有限,請儘速報名。線上報名:http://www.tsnpr.org.tw/register.php,課程內容請參考:http://www.tsnpr.org.tw/programme.php,台灣營養精神醫學研究學會歡迎您的蒞臨!
台灣營養精神醫學研究學會
Taiwanese Society for Nutritional Psychiatry Research
地址:台中市北區育德路2號 中國醫藥大學附設醫院 精神醫學部
Add:No.2 Yu-Der Rd., Taichung, 404, Taiwan
Copyright © 2015 TSNPR 台灣營養精神醫學研究學會 All rights reserved.